この記事の著者・監修者
院長:戸梶 仁聡(とかじ ひろあき)
歯科医師になって30数年間、自分の理想とする【患者さんのための歯医者】を求め続けてここまでやってきました。
資格・所属学会
- 日本矯正歯科学会認定医
- 歯学博士
- 上智大学カウンセリング研究所認定カウンセラー
- NCC認定カウンセラー
- 日本矯正歯科学会
- 日本歯周病学会
- アメリカ歯周病学会

アニメでわかりやすくホワイトニングについてご紹介!
①
当院はホワイトエッセンスの加盟院です。
国内薬事承認を取得している薬剤と豊富な症例実績があり、安全で効果の高いホワイトニングをお受けいただけます。

②
当院で行うホワイトニングには文献に定められた健康効果も確認されております。
むし歯・歯周病・口臭の予防にも効果があることが実証されており、さらには歯質の強化にも寄与しております。
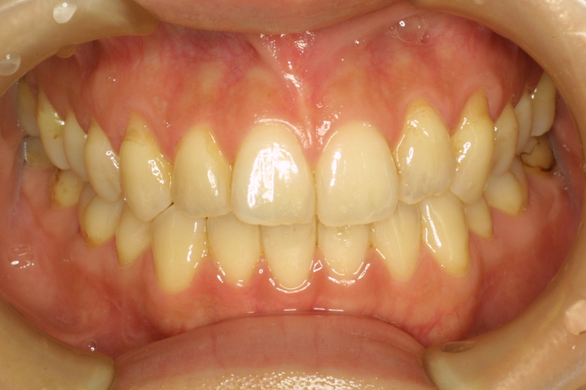
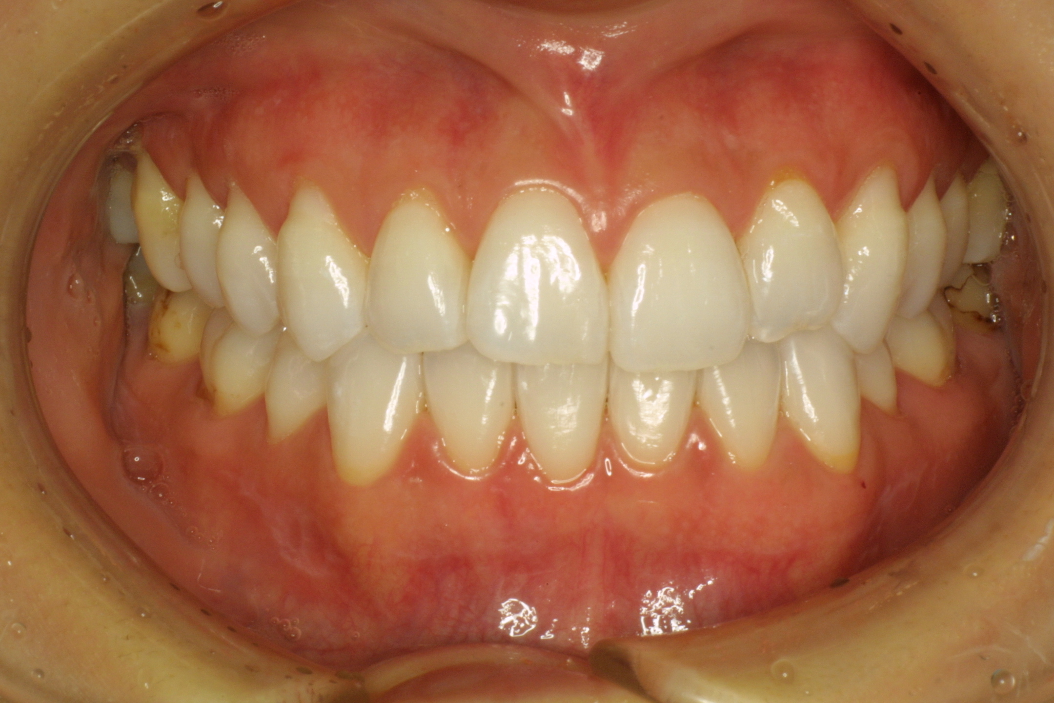
単純な歯の美しさだけでなく、歯茎の色が明るくなり、引き締まっていることが確認できます。

Before

After
施術メニュー | ホワイトエッセンスコース |
|---|---|
通院回数 | 6回 |
価格 | ¥118,800円(税込) |
※メニュー・来院回数・価格の19,900~118,800円には個人差があります。
③


オーラルスパクリーニング | 9,900円(税込) |
|---|
オフィスホワイトニング | 19,900円~118,800円(税込) |
|---|
ホームホワイトニング | 19,900円~118,800円(税込) |
|---|
ホワイトニングの効果を高めたい方には両方を組み合わせたデュアルホワイトニング
デュアルホワイトニング | 39,800円~118,800円(税込) |
|---|
歯科医師になって30数年間、自分の理想とする【患者さんのための歯医者】を求め続けてここまでやってきました。
©とかじ歯科 All Rights Reserved.